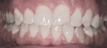
Después del tratamiento ClearCorrect, con los dientes alineados
04 de abril de 2022 - 17:39Después del tratamiento ClearCorrect, con los dientes alineados Foto Anterior2 de 4Foto SiguienteVer el artículo original: Ortodoncia invisible: descubre todas sus ventajas Antes del tratamiento de ClearCorrect Después del tratamiento de ClearCorrect ClearCorrect Aligner en Clinica Phi Consigue tu mejor sonrisa con la ortodoncia invisible